皇冠信用网在线注册_河南一老人做冠脉造影手术时一截导丝断在血管中!院方回应
世界杯皇冠信用网平台(www.hg0088.us)为您提供最新登1登2登3代理网址,包括新2登1登2登3代理手机网址,新2登1登2登3代理备用网址,皇冠登1登2登3代理最新网址,近日,来自河南汝州的高女士反映称,她的父亲在河南省胸科医院做冠脉造影手术时,手术所用导丝末端断裂,一截导丝被遗留在血管中皇冠信用网在线注册。“父亲原本就有血栓,担心随着父亲年龄增长,病情会加剧。”
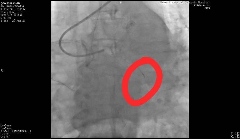
9月30日,涉事医院医患办公室工作人员告诉南都N视频记者,术后院方组织了相关科室会诊,判断回旋支指引导丝远段断裂,与患者回旋支弥漫性动脉硬化重度狭窄病变及钙化有关皇冠信用网在线注册。如果患者需要做医疗事故鉴定,院方将全力配合。目前仍在与该病人家属进行协商。

断裂的导丝皇冠信用网在线注册。受访者供图
病人家属:担心遗留导丝会加剧病情
高女士向南都记者介绍,其父亲今年62岁,去年因冠心病在河南省胸科医院做过支架植入手术皇冠信用网在线注册。今年9月2日,因感到胸闷,其父亲再次到该医院复查。
9月5日,高女士父亲在该医院做冠脉造影,手术进行了近3个小时皇冠信用网在线注册。高女士回忆说,手术结束后,负责手术的医生告诉她,“在微创探查体内的时候,一截导丝断裂。”当高女士询问能否再次实施手术取出时,医生表示因病患年纪较大,开胸手术存在危险,并没有取出的必要。但对于遗留导丝会否在后续造成长期影响,该医生则称“无法确定”。
高女士提供的病程记录显示,“手术操作过程中出现回撤导丝困难,送入微导管尝试至坎顿处未成功,退出微导管时远段导丝断裂,多途径尝试取出断裂导丝均未能成功皇冠信用网在线注册。”资料还指出,“通过复查造影,回旋支近段残余狭窄小于30%,未见明显夹层、无复流。”
南都记者留意到,该病程记录给出了心血管外科一病区会诊意见,称“回旋支内见离断的介入导丝,外科取出导丝意义不大,建议内科治疗”皇冠信用网在线注册。
高女士认为,父亲原本就有血栓,按照医院的说法,他的血管狭窄、钙化严重,其担心随着父亲年龄增长,情况会加剧皇冠信用网在线注册。她表示,目前有两个诉求,一是希望医院能给予一定金额的赔偿;二是由医院对接能做开胸手术的医院,必要情况下协助垫付一定费用。
涉事院方:可配合做相关医疗鉴定
9月30日,南都记者联系涉事医院医患办咨询,接线人员表示,目前已了解高女士的诉求,正积极与高女士进行协商皇冠信用网在线注册。
该名接线人员表示,该患者入院后,诊断冠心病、急性冠脉综合征,手术指征明确皇冠信用网在线注册。“术前已与患者及家属沟通病情,告知其冠脉造影及冠脉支架植入术的必要性及相关风险。”
这一说法可以在高女士提供的病程记录中得到印证皇冠信用网在线注册。相关记录显示,9月4日,手术医师进行查房,随后与患者及家属沟通病情,告知其冠脉造影及冠脉支架植入术的必要性及相关风险,其中提及,术后可能出现支架再狭窄或支架内血栓形成,可造成相关脏器急性缺血坏死或功能障碍,危及生命,以及导丝、导管、鞘管等术中所用材料断裂、打折等,必要时需要外科手术治疗。
该医患办工作人员向南都记者解释称,术后院方组织了相关科室会诊,判断回旋支指引导丝远段断裂,与患者回旋支弥漫性动脉硬化重度狭窄病变及钙化有关皇冠信用网在线注册。“如果患者需要做医疗事故鉴定,院方将全力配合。如果对方经济困难,医院愿意垫付费用做鉴定。”其还表示,医院将根据第三方相关鉴定,承担院方该承担的责任。
南都记者了解到,当前高女士向医院提出30万的索赔,院方认为索赔数目太高,建议走司法程序进行司法鉴定,以此明确医院的过错及比例,如果家属对血管里的导丝感到担心,医院可先补偿8000元皇冠信用网在线注册。
高女士表示,当前她已将诉求反映至省卫健委有关部门,正在进一步等候处理中皇冠信用网在线注册。
采写:南都N视频记者 林诗妍
猜你喜欢
- 6小时前世界杯皇冠信用网代理_美媒:055咸阳舰率队抵达黄岩岛,战力远超菲律宾海空军总和!
- 6小时前世界杯皇冠信用网代理_已确认!西安气温“坐上过山车”!雨雪降温马上来……
- 2天前怎么申请皇冠信用网_ICE来了就吹哨子!暴力执法中的明州之冬与零下20°C的SOS
- 2天前怎么申请皇冠信用网_俄防长绍伊古来华,受普京总统委派沟通战略
- 3天前皇冠信用网押金多少_BBC驻华记者扭捏承认:在中国生活安全又方便
- 3天前皇冠信用网押金多少_阿森纳的主场优势:剩余英超比赛仅需离开伦敦3场,能否实现冠军梦?
- 4天前如何申请皇冠信用网会员_“我要传子传孙!”上海阿姨非要花100万买男表,却连品牌都说不清……警方提醒
- 7天前皇冠信用网结算日是哪天_胸闷!上海男子追讨700元,遭暗示付了8000元律师费!“被告承担”法院驳回→
- 7天前皇冠信用网代理登3_泽连斯基戏演砸了,总理欧尔班发话:未来100年内,匈牙利都不会让乌克兰加入欧盟
- 7天前皇冠信用网代理登3_男子卖400克金条借给朋友14万,金价大涨后要求按黄金现值还30万,法院驳回:以实际交付为准
- 1周前正版皇冠信用网代理_代驾称“快30岁没喝过茅台”后,车主赠送茅台,当事人:这单20多块,茅台顶半个月工资
- 1周前正版皇冠信用网代理_2比2战平乌兹别克斯坦队 国足结束西亚拉练
- 1周前皇冠信用网代理出租_“计划有变”!北京降雪情况有“调整”
- 1周前U23国足进球被吹 _U23亚洲杯-小仓幸成2球 U23国足0-4日本获亚军
- 1周前中国vs日本 _亚足联:越南后卫范理德对拜合拉木暴力行为 停赛3场罚1000美元
- 2周前皇冠信用网代理出租_U23亚洲杯中国队对战日本队,转播计划出炉!
- 2周前皇冠信用网址_特朗普撤回对加拿大总理加入“和平委员会”的邀请
- 2周前怎么开通皇冠信用网口_欠中国的钱,委内瑞拉不还了?美财长:中国已无法继续获得委方石油
- 2周前皇冠信用网在哪里注册_超200股已跌破“924”!千亿市值权重占一成,这些板块临近行情起点
- 2周前电竞足球_彻底傻眼!丹麦女首相哭晕:防了俄罗斯半天,转头被美国捅刀
- 2周前电竞足球_贝克汉姆出轨门女主声援大布:我太清楚他们夫妻啥样了!
- 2周前皇冠信用网登2代理_法德英三国最新表态:法国主张采取强硬立场,德国决心反制,英国呼吁冷静应对美欧关系
- 2周前皇冠信用网登2代理_肖晓华,被查!
- 2周前皇冠信用网申请_美媒:美国再次成为唯一超级大国,中国曾有机会,但如今输掉竞争


网友评论