皇冠官网
热门标签

怎么申请皇冠信用网 _广东一男子20多年不敢一个人出门,医生从他脑中取出10厘米活虫

时间:2个月前   阅读:1259

皇冠信用网会员开户(www.hg0088.us)皇冠会员开户_登3代理,皇冠信用网/—开会员账号—皇冠信用网招登1登2登3皇冠信用网平台出售,家住汕尾的阿勇(化名)今年52岁,从21年前开始出现癫痫大发作以来,他几乎从未独自出过门怎么申请皇冠信用网 。近日,广州的医生从他颅内取出一条潜伏长达20余年、约10厘米的裂头蚴,他感到前所未有的轻松。

不敢独自出门的男子

“距离现在已经有21年了!”阿勇感慨道怎么申请皇冠信用网 。那晚,他在睡梦中突然四肢抽搐、牙关咬紧、眼球上翻,完全失去意识。在当地医院被诊断为“肉芽肿炎”,但医生告知,手术可能加剧发作,阿勇选择了保守治疗。

服用抗癫痫药后,阿勇依然会出现癫痫发作怎么申请皇冠信用网 。他的心理压力与日俱增,“每天在家,不敢一个人出门,担心随时发作。”他感觉脑袋始终堵着东西,只能靠小诊所的药片暂时缓解。

一年前,阿勇的病情进一步加重怎么申请皇冠信用网 。每次发作后,会出现短暂失语、左侧面瘫和肢体麻木。颅脑MRI检查结果提示,可能是寄生虫感染。为寻求进一步诊疗,阿勇来到广东三九脑科医院。

手术取出10厘米活虫

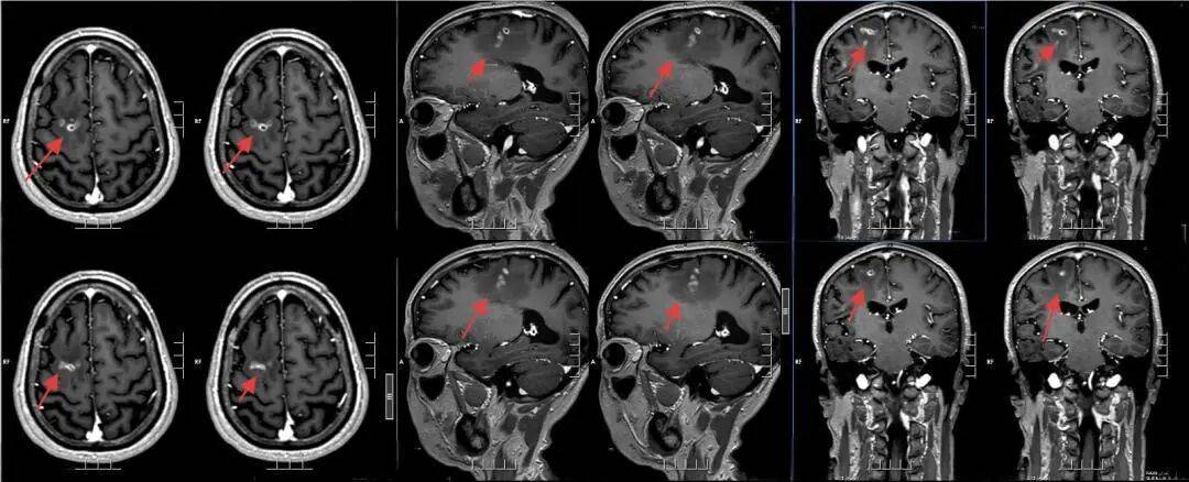
该院神经外二科张旭标副主任医师接诊后,根据影像结果,发现其右额叶病变,局部肉芽肿形成伴周围组织水肿怎么申请皇冠信用网 。“这是大脑为了隔离‘入侵者’筑起一道‘隔离墙’,周围的脑组织被刺激得肿胀。”张旭标解释,这些影像特征高度指向脑裂头蚴病。经比对,病灶范围稳定,手术时机成熟。

怎么申请皇冠信用网
_广东一男子20多年不敢一个人出门怎么申请皇冠信用网
,医生从他脑中取出10厘米活虫

术前影像

“很激动,身体被搞垮了20多年怎么申请皇冠信用网 。”得知手术有望根治顽疾,阿勇在期待中夹杂着紧张。

手术采用神经导航技术,精确定位病变,张旭标在显微镜下小心抓取寄生虫、清理“虫窝”,避免损伤周围功能区脑组织怎么申请皇冠信用网 。术中,一条长约10厘米的灰白色寄生虫被完整取出。术后病理报告证实为裂头蚴。

怎么申请皇冠信用网
_广东一男子20多年不敢一个人出门怎么申请皇冠信用网
,医生从他脑中取出10厘米活虫

张旭标在手术中

术后恢复良好的阿勇,脸上露出了笑容,“头不‘堵’了,感觉人都开朗、轻松了怎么申请皇冠信用网 。”

该院神经外二科副主任刘妲介绍,裂头蚴病多与饮食习惯相关,常因食用未煮熟的青蛙、蛇类,或饮用被污染的生水所致怎么申请皇冠信用网 。阿勇回忆,自己曾喝过生水,后来偶尔也会食用生腌虾蟹。

寄生虫在大脑中“安家”后,会持续刺激周围组织,引发肉芽肿和水肿,压迫神经结构,进而导致癫痫、头痛、肢体麻木甚至意识丧失怎么申请皇冠信用网 。由于潜伏期长、症状隐匿,极易被误诊为普通癫痫或脑肿瘤。刘妲特别提醒,预防寄生虫感染,关键要做到“三不”:不喝生水,不吃生食或未煮熟的食物,不用生肉敷贴伤口。

来源:广州日报

上一篇:皇冠信用網代理如何注册 _斯诺克英锦赛:丁俊晖险胜对手晋级八强 赵心童出局

下一篇:怎么申请皇冠信用网 _访华结束前,马克龙把熊猫弄到手了

猜你喜欢

网友评论